Laboratório de Biologia Experimental do Câncer (LABEC)
O Laboratório de Biologia Experimental e do Câncer (LABEC) desenvolve pesquisas voltadas para a avaliação do efeito antitumoral de compostos naturais e sintéticos em diferentes tipos de câncer, como melanoma e câncer de mama humano e murino. As investigações envolvem a análise de atividades citotóxicas, de inibição da migração e invasão celular, bem como da formação de colônias tumorais visando compreender os mecanismos de ação e os processos de morte celular envolvidos, ampliando o conhecimento científico sobre terapias mais eficazes e seguras.
Compostos promissores identificados nos estudos desenvolvidos no LABEC também são testados quanto ao seu impacto na redução de nódulos metastáticos, reforçando o compromisso com a geração de conhecimento aplicado ao enfrentamento do câncer.
O LABEC conta com infraestrutura para pesquisa em biotecnologia e biologia celular. Possui sala de cultura de células equipada com fluxos laminares, estufa de CO₂, centrífuga e microscópio invertido Zeiss, além de microscópio de fluorescência Leica. A estrutura também contempla equipamentos para Western Blotting, leitor de ELISA e recursos básicos de laboratório, como balanças, centrífugas, banho-maria e lupas.
Responsável: Profa. Dra. Responsável: Profa. Dra. Denise Costa Arruda
Figura 1: Microscopia de fluorescência de célula de melanoma murino (B16F10-Nex2) fixada, permeabilizada e marcada com DAPI que cora o núcleo em azul e com Faloidina-Rodamina que cora a actina da célula em vermelho

Figura 2: Microscopia de fluorescência de célula B16F10-Nex2 tratada com o peptídeo C7H2 (Arruda et al., 2012) e marcada com Hoechst 33342 que intercala nos sulcos menores do DNA. O peptídeo degrada a membrana nuclear e o DNA é liberado do núcleo, marcando a célula inteira (Arruda et al., 2012).

Figura 3:Microscopia de fluorescência de célula B16F10-Nex2 tratada com o peptídeo C7H2 (Arruda et al., 2012) e marcada com DHE, que na presença de espécies reativas de oxigênio, marca o núcleo em vermelho.

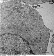
Figura 4: Microscopia eletrônica de transmissão de célula B16F10-Nex2. N (Núcleo); m (Mitocôndria); re (Retículo Endoplasmático Rugoso); ap (Aparelho de Golgi). Imagem obtida no Centro de Microscopia Eletrônica (CEME)- Universidade Federal de São Paulo – UNIFESP.